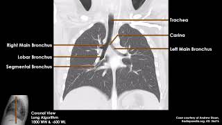
Download Lagu MP3 & Video: Ct Thorax Anatomy
CT chest Anatomy Made simple- For Medical students, residents and clinicians
RADIOCLINICS - 2 years ago
Download
Segmental anatomy of the lung | Radiology anatomy part 1 prep | Bronchopulmonary segments on CT
Radiology Tutorials - 3 years ago
Download
Mastering Chest CT- ANATOMY. Detailed anatomy with DIACOM discussion. Lung segments & mediastinum
radiology_defined - 10 months ago
Download









